Broken Necks in Nursing Homes
Seniors in nursing homes are prone to neck fractures and other neck injuries due to the risk of falls, brittle bones, and many other reasons. Some neck fractures can be fatal.
According to Medical News Today, the neck consists of seven small bones known as cervical vertebrae. The bones of the neck are found at the base of the skull and on top of the shoulders. A broken cervical vertebra is called a cervical fracture – or, in layman’s terms – a broken neck. If the break causes damage to the spinal cord or nerves, a nursing home resident can suffer paralysis or death. If there is no spinal cord damage, the resident may recover with proper orthopedic care.
What causes nursing home residents to fracture their necks?
Generally, a broken neck is due to some type of blunt-force trauma. Common types of trauma in nursing homes that cause a senior to break their neck include the following:
- A slip and fall or a trip and fall accident. Most residents of nursing homes have mobility problems.
- A staff member who drops a nursing home resident while transporting or moving the resident.
- Wandering or elopement, which can result in falls, being struck by a vehicle, and other accidents.
- Dehydration or malnutrition.
- Certain medical conditions, such as osteoporosis or diabetes.
- Dementia, Alzheimer’s, or other cognitive disorders.
- Medications that cause dizziness or vertigo.
- Fainting.
- Seizures.
- Parkinson’s disease.
- Physical abuse or assaults.
- Spontaneous fractures.
Types of broken necks
According to USC Spine, a cervical fracture is a broken bone in the cervical region of the spine. A cervical dislocation is a ligament injury in the neck where “two (or more) of the adjoining spine bones have become abnormally separated from each other, causing instability.”
Cervical fractures and dislocations are generally classified based on “their region/location and injury/fracture pattern.” The two main categories are:
- Occipital-cervical (occiput-C2) injuries.
- Subaxial cervical spine (C3-C7) injuries.
What are the symptoms, diagnostic tests, and treatments for a broken neck?
According to Medical News Today, the symptoms of a broken neck include severe pain and tenderness in the neck. Other symptoms include tingling or numbness around the neck, pain that moves down to the shoulder or arms, the inability to move part or all of the resident’s body, difficulty walking, difficulty breathing, and bruising or swelling of the neck. Paralysis is a distinct possibility.
Generally, residents who have a neck injury require immediate medical attention to determine if there is a break or if there is just a sprain or strain of the neck. Diagnostic tests for a broken neck include:
- A complete neurological exam to detect any spinal cord damage.
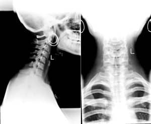
- X-ray examinations of the cervical vertebrae to determine if there are breaks or cracks.
- CT scans that provide a detailed view of the spinal cord.
- MRIs to “produce 3D images of the spine, nerves, and other body structures.”
The treatments vary depending on the location of the neck fracture, whether a bone is dislocated, whether there is spinal cord damage, the type of fracture, and the severity of the fracture. Treatments may include:
- Cervical braces or neck braces that your loved one may need to wear for several weeks or months.
- Pain medications – over-the-counter and by prescription.
- Traction, which involves using “a device that restricts the movement of the head and neck more than a brace does.” Traction may involve weights and pulleys to position the bones correctly.
- A halo vest, which is a traction device consisting of “a hard vest and a ring (halo) around the head. The vest portion connects to the halo with rods. Doctors attach the halo to the skull with special screws.” Medical News Today states that this invasive procedure may not be suitable for older people and individuals who are obese.
- Surgery, which can help when the bones are dislocated, pieces of the bone have broken off, or the neck is not very stable.
- Physical therapy and other rehabilitative care after surgery may require months of care or even longer.
According to USC Spine:
Surgical treatments frequently involve posterior (back of the neck incision), cervical fusion (mending the spine bones together), and instrumentation (small metal screws and rods stabilizing the spine). Other options include anterior (front of the neck incision) decompression and fusion, with or without instrumentation (metal plate and screws).
When should nursing homes be accountable for broken necks?
Nursing homes should have policies and procedures in place to reduce the risk of falls and other accidents or conduct that can cause a resident to suffer a broken neck. Nursing homes should also have individual care plans for each resident to address the specific causes of broken necks that may occur, such as if their medications have a known risk factor of dizziness.
Some of the steps nursing homes should consider include:
- Designing their facilities to reduce the risk of falls.
- Fall prevention strategies include personal assistance for residents with mobility problems, including wheelchairs, helmets, properly fitting shoes, slip-resistant surfaces, and safety rails (especially in bathrooms and staircases).
- Conducting background checks on employees.
- Having proper staffing levels.
- Formal reviews of the medications each resident takes and their risk factors for falling.
- Prompt emergency services when falls do occur.
At Garcia & Coman, we work with fall prevention specialists, nursing home safety professionals, and physicians to help show your loved one’s broken neck was preventable, the medical care they need, and every way a broken neck is affecting every aspect of their life. We file personal injury claims for residents with broken necks and wrongful death claims if your loved one dies due to a broken neck.
Our nursing home lawyers have been fighting for nursing home victims since 1993. We’re here to guide you and your loved one through each step of the claims process. Our lawyers and 40 staff members will fight for all the compensation your loved one and family members deserve.
Call us or complete our contact form to schedule a free consultation today. We’re a national firm with offices in Los Angeles, Long Beach, Phoenix, Louisville, and New Orleans.

Stephen M. Garcia represents victims of elder and nursing home abuse and is known as one of the leading civil litigators in the country. He is Senior Partner at Garcia & Coman, where the firm’s practice is focused on elder abuse, nursing home abuse, and wrongful death of the elderly.
Find out more about Stephen M. Garcia